Варусная деформация коленных суставов у детей (О-образные ноги)
Составил Евтемиров И.Л. t.me/uezdny
Варусная деформация коленей (genu varum, О-образные ноги) представляет собой угловую деформацию в коленном суставе, при которой вершина угла деформации направлена от средней линии тела. Визуально это выглядит как расхождение коленей при сведенных вместе стопах.
Х- и О-образные ноги являются одними из наиболее частых причин обращения к детским ортопедам. Однако очень важно понимать, что подавляющее большинство детей с варусной или вальгусной деформацией имеют варианты нормального физиологического развития нижних конечностей.
Нормальное физиологическое развитие нижних конечностей
Понимание нормального развития является ключевым для определения физиологических и патологических состояний. Развитие нижних конечностей проходит предсказуемую последовательность изменений в течение первых семи лет жизни.
Хронология развития:
Внутриутробный период и рождение:
При рождении нормальное положение ног - варусное (О-образное)
Это связано с внутриутробным положением плода
Ранний младенческий период (0-18 месяцев):
Варусное положение сохраняется и является нормой
В начале вставания и ходьбы варус часто усиливается
Дети, которые начинают рано ходить, могут иметь более выраженный варус
Это связано с нагрузкой веса тела на еще развивающиеся структуры
Переходный период (18-24 месяца):
Критический период - положение должно стать нейтральным
Это важная веха развития для дифференциальной диагностики
Период вальгизации (24 месяца - 4 года):
Развитие вальгусного положения (Х-образные ноги)
Максимум вальгуса достигается к 4 годам
Этот период также является физиологическим
Период коррекции (4-7 лет):
Постепенное уменьшение вальгуса
Движение к окончательному взрослому положению
Финальное положение (к 7 годам):
Достигается взрослое положение - легкий физиологический вальгус
Это окончательное положение сохраняется на всю жизнь

Ось нижних конечностей проходит через последовательность изменений в первые семь лет жизни: от варусной деформации (O-образной) с рождения до примерно 18 месяцев, к нейтральному положению в возрасте от 18 до 24 месяцев, затем к вальгусной деформации (X-образные ноги), и, наконец, возвращается к нейтральной оси. У взрослых ось нижних конечностей обычно имеет небольшой вальгус.
Важные особенности нормального развития:
Существует широкий диапазон нормальных значений
Развитие может происходить с разной скоростью у разных детей
Двусторонняя симметричная деформация является характерными чертами нормы

Причины варусной деформации
1. Физиологический варус (нормальный вариант)
Физиологический варус определяется как варусная деформация с большеберцово-бедренным углом в пределах двух стандартных отклонений от среднего значения для данного возраста.
Характерные клинические признаки:
Возраст: от рождения до 2 лет
Билатеральность: поражение обеих ног
Симметричность: относительно одинаковая степень деформации с обеих сторон
Локализация искривления: поражение как бедренных, так и большеберцовых костей
Рост: нормальные показатели роста (в пределах двух стандартных отклонений от среднего для возраста и пола)
Походка: отсутствие латерального толчка при ходьбе

Сопутствующие особенности:
Часто сочетается с внутренней торсией голени (поворот голени внутрь), что визуально усиливает варусную деформацию
Родители часто обеспокоены косметическим видом
Может сочетаться с косолапой походкой
Рентгенологические особенности (при выполнении):
Метафизарно-диафизарный (МД) угол большеберцовой кости: <11°
Соотношение МД углов: бедренный МД угол больше большеберцового МД угла (отношение >1)
Отсутствие структурных изменений костей

2. Патологический варус
А. Болезнь Блаунта (Tibia vara)
Болезнь Блаунта представляет собой патологическую варусную деформацию, возникающую в результате нарушения нормального роста хряща в медиальной части проксимального эпифиза большеберцовой кости.
Классификация:
Инфантильная форма (ранняя):
Диагностируется до 4 лет
Обычно двусторонняя (80% случаев)
Обычно ухудшается после начала ходьбы
Может поддаваться консервативному лечению на ранних стадиях
Подростковая форма (поздняя):
Диагностируется в более позднем детском возрасте
Может быть как односторонней, так и двусторонней
Обычно требует хирургического вмешательства
Факторы риска:
Ожирение (основной фактор риска)
Афроамериканская национальность
Раннее начало ходьбы
Механические нагрузки на развивающийся эпифиз
Патофизиология:
Повышенная механическая нагрузка на медиальную часть проксимального эпифиза большеберцовой кости приводит к:
Нарушению нормального роста хряща
Формированию характерных изменений в ростковой зоне
Прогрессирующей варусной деформации
Возможному развитию разновеликости ног

Клинические проявления:
Асимметричная угловая деформация нижних конечностей
Угловая деформация в проксимальном отделе большеберцовой кости
Латеральный толчок при ходьбе (кратковременный латеральный в сдвиг коленного сустава во время опорной фазы ходьбы)
Возможна разновеликость ног
Прогрессирование деформации со временем
Рентгенологические признаки:
Варусная деформация проксимального отдела большеберцовой кости
Медиальное "клювовидное" выпячивание проксимального метафиза большеберцовой кости
Нисходящий наклон проксимального метафиза большеберцовой кости
МД угол большеберцовой кости >16° (хотя этот признак не является диагностическим)
Соотношение МД углов бедро:голень <1

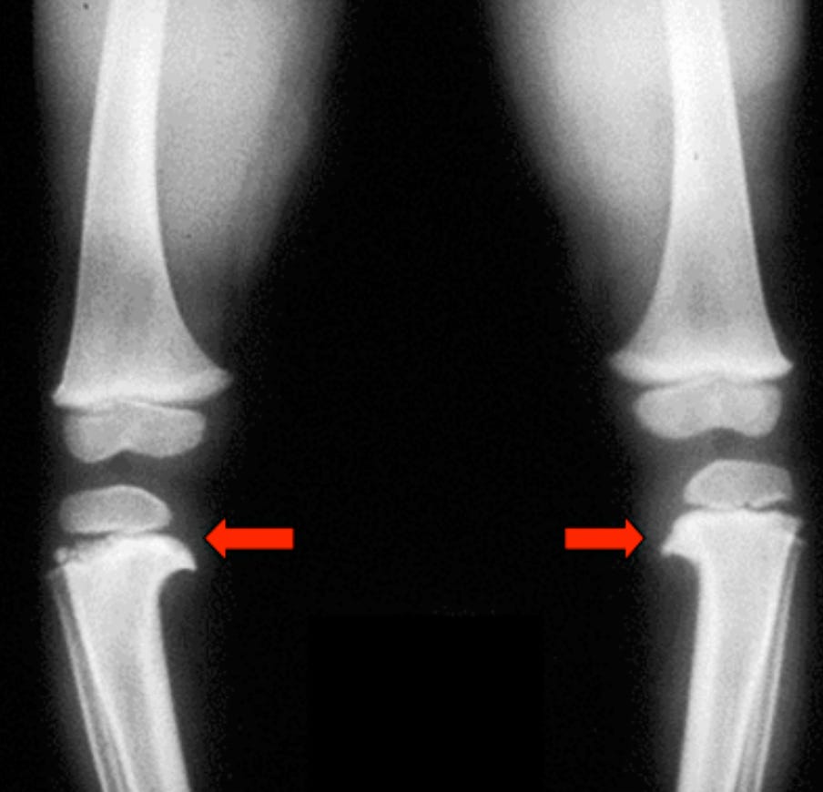
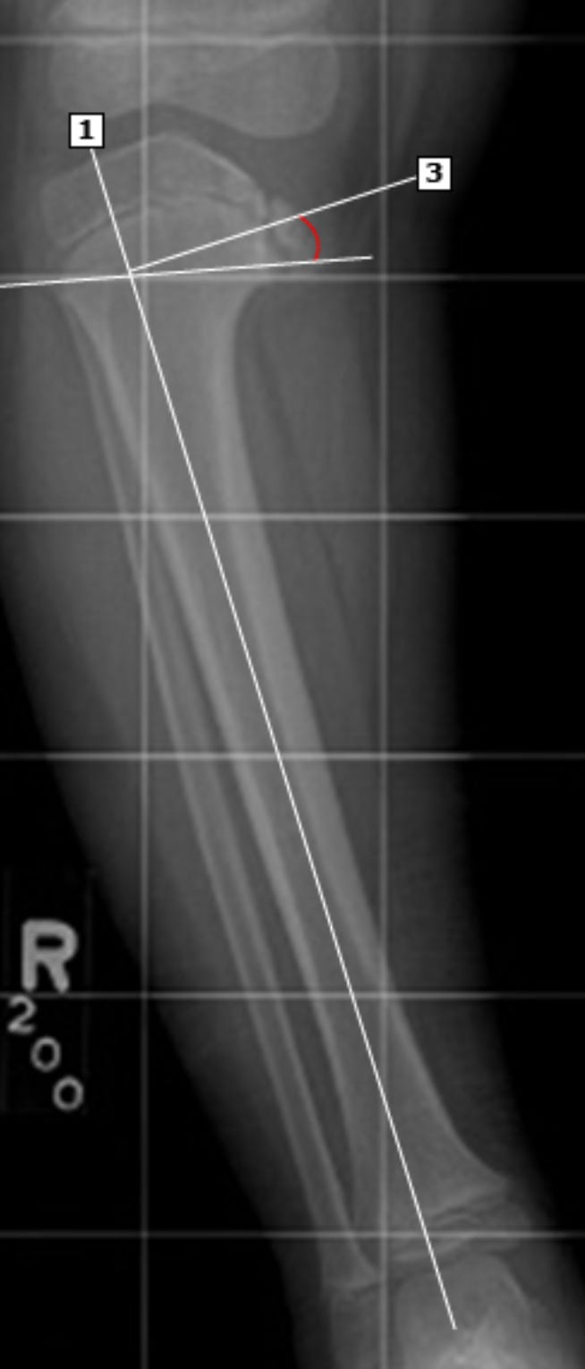
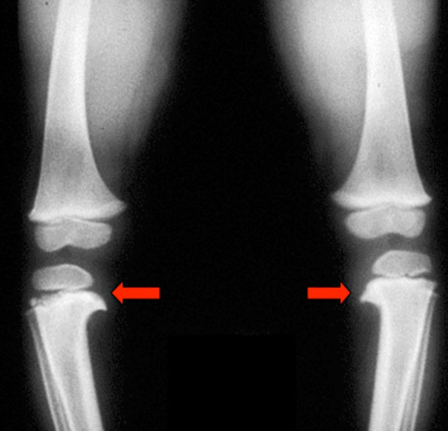
Угол между метадиафизарный угол измеряется на переднезаднем рентгеновском снимке коленного сустава в положении стоя следующим образом: 1) проводится линия вдоль продольной оси большеберцовой кости (линия 1); 2) проводится линия через вершины проксимального метафиза большеберцовой кости (линия 2); 3) проводится линия, перпендикулярная линии 1, в точке пересечения линий 1 и 2 (линия 3); 4) измеряется угол между линиями 2 и 3 — это и есть угол между метафизом и диафизом большеберцовой кости. Значение угла ≤11° указывает на физиологическую, а не патологическую О-образную деформацию. У этого пациента с болезнью Блаунта метадиафизарный угол равен примерно 18°.
Лечение:
Инфантильная форма:
Консервативное лечение: использование брейсов для разгрузки медиальных компрессионных сил
Время начала: должно быть начато до 3-летнего возраста
Эффективность: успешно в 50-80% случаев согласно наблюдательным исследованиям
Хирургическое лечение: при неэффективности брейсирования
Управляемый рост через гемиэпифизиодез
Остеотомия большеберцовой кости с реконструкцией
Должно быть выполнено до 4 лет для снижения риска рецидива
Подростковая форма:
Брейсирование неэффективно
Основное лечение - хирургическое:
Гемиэпифизиодез
Остеотомия большеберцовой кости
Б. Рахит
Рахит представляет собой нарушение минерализации костей (метаболическая костная болезнь), которое может приводить к различным деформациям в зависимости от времени начала.
Связь с возрастом начала:
Раннее начало (до 18-24 месяцев): связано с варусной деформацией
Позднее начало (около 4 лет, в период физиологического вальгуса): связано с вальгусной деформацией
Типы рахита:
Алиментарный рахит (дефицит витамина D)
Х-сцепленный гипофосфатемический рахит
Синдром Фанкони
Другие метаболические нарушения
Клинические особенности:
Низкий рост (обычно <10-го процентиля)
Двусторонняя симметричная нефизиологическая деформация
Поражение как бедренных, так и большеберцовых костей
Увеличенные эпифизы длинных костей при пальпации
Другие проявления рахита (краниотабес, задержка прорезывания зубов, гипокальциемические судороги)
Лабораторные изменения:
Варьируют в зависимости от основного заболевания:
Нарушения обмена кальция и фосфора
Изменения уровня витамина D и его метаболитов
Повышение паратиреоидного гормона
Повышение щелочной фосфатазы
Рентгенологические признаки:
Снижение плотности костной ткани
Расширение и "чашеобразная" деформация ростковых зон
Расширенные метафизы
Псевдопереломы (зоны Лоозера)
Деформации длинных костей

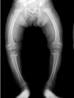
Переднезадние рентгенограммы обеих нижних конечностей в положении стоя помогают отличить физиологическую О-образную деформацию от патологической У этого пациента с Х-сцепленным гипофосфатемическим рахитом (XLH) отмечаются множественные расширенные зоны роста. В метафизах видна остеопения, сам метафиз расширен. Искривление обычно более диффузное по всей кости, а не локализуется в области проксимальной большеберцовой кости.
Лечение:
Медикаментозная коррекция основного заболевания (например, восполнение витамина D)
Хирургическое вмешательство откладывается до достижения адекватного медикаментозного контроля
Деформация может улучшаться при правильном медикаментозном лечении
В. Скелетные дисплазии
Группа наследственных заболеваний, поражающих развитие и рост костно-хрящевой ткани.
Примеры:
Ахондроплазия (наиболее частая форма скелетной дисплазии)
Псевдоахондроплазия
Метафизарная хондродисплазия
Другие формы остеохондродисплазий
Клинические признаки:
Выраженная задержка роста (обычно <5-го процентиля)
Характерные физические особенности (варьируют в зависимости от типа дисплазии)
Двусторонняя симметричная деформация
Диспропорциональность сегментов тела
Другие скелетные аномалии
Лабораторные показатели:
Нормальные концентрации кальция и фосфора в сыворотке крови (в отличие от рахита)
Специфические генетические тесты при необходимости
Рентгенологические особенности:
Варьируют в зависимости от места поражения:
Эпифизарные дисплазии: поражение эпифизов
Физарная дисплазии: поражение ростковых зон
Метафизарные дисплазии: поражение метафизов
Диафизарные дисплазии: поражение диафизов костей
Смешанные формы: комбинированные поражения костей
Диагностика:
Может потребоваться полное скелетное обследование (включая череп и позвоночник)
Генетическое консультирование
Специализированная диагностика
Г. Асимметричный рост
Односторонние деформации, возникающие в результате локального нарушения роста.
Причины:
Инфекции (остеомиелит, септический артрит)
Травмы (переломы с повреждением ростковой зоны)
Опухоли (доброкачественные и злокачественные)
Сосудистые нарушения
Особенности:
Практически всегда односторонние
Могут сочетаться с разностью длины ног
Анамнез травмы или инфекции
Прогрессирование деформации
Клиническая картина
Жалобы при обращении:
Косметические: беспокойство родителей по поводу внешнего вида ног ребенка
Функциональные: чрезмерные падения, неустойчивость при ходьбе
Сопутствующие: косолапая походка (часто сочетается с варусной деформацией)
Беспокойство по поводу будущих осложнений
Сопутствующие симптомы:
Боль (редко при физиологическом варусе)
Хромота
Частые спотыкания и падения
Быстрая утомляемость при ходьбе
Диагностическая оценка
Анамнез
Детальный сбор анамнеза включает:
Рост и развитие:
Соответствие возрастным нормам (нормальное при физиологическом варусе)
Динамика физического развития
Достижение моторных вех развития
Время начала:
До или после рождения
До или после начала ходьбы
При рождении нормальное положение - варусное
Усиление варуса при начале ходьбы может быть нормальным
Прогрессирование:
Физиологический варус улучшается с ростом ребенка
Патологический варус ухудшается с ростом
Скорость изменений
Сопутствующие жалобы:
Болевой синдром
Хромота
Частые спотыкания и падения
Косолапость при ходьбе
Семейный анамнез:
Аналогичные проблемы у родителей, братьев или сестёр
Низкий рост в семье
Рахит в семейном анамнезе
Скелетные дисплазии
Предшествующее лечение:
Любые ранее применявшиеся методы лечения
Эффективность предшествующей терапии
Факторы риска рахита:
Диетические факторы: потребление кальция и витамина D
Пребывание на солнце
Социально-экономические факторы
Особенности питания (особенно у детей на грудном вскармливании)
Анамнез травм и инфекций:
История переломов
Инфекционные заболевания костей и суставов
Любые события, которые могли повлиять на рост костей
Восприятие родителей:
Степень беспокойства родителей
Влияние на повседневную активность ребенка
Социальные аспекты (например, комментарии окружающих)
Физикальное обследование
Антропометрические измерения:
Рост/длина тела:
Измерение с нанесением на стандартизированные кривые роста
Рост ниже 3-го процентиля - потенциальный признак патологии
Менее выраженная задержка роста (10-й или 25-й процентиль) может вызывать беспокойство при наличии других признаков патологии
Вес:
Измерение веса и расчет индекса массы тела
Ожирение - фактор риска подростковой формы болезни Блаунта
Фокусированное обследование нижних конечностей:
Техника обследования:
У маленьких детей: обследование может проводиться на коленях у родителей
Положение ребенка: сидя или лежа на спине
Положение ног: колени разогнуты, ноги повернуты так, чтобы надколенники были направлены прямо вперед
Важность правильного положения: необходимо для точной оценки угловой деформации, так как торсия голени или антеверсия бедра могут создавать ложное впечатление варуса или вальгуса
Измерения:
Расстояние между мыщелками бедренных костей: >6 см (2,5 дюйма) считается патологией в любом возрасте
Это измерение дает воспроизводимый, объективный, нерентгенологический метод мониторинга прогрессирования или улучшения деформации при повторных визитах
Дополнительные компоненты обследования:
Оценка симметрии:
Асимметрия или одностороннее поражение предполагает патологический генез варуса
Сравнение степени деформации между сторонами
Оценка длины ног:
Укорочение конечностей может указывать на скелетную дисплазию
Разновеликость ног может указывать на асимметричный рост в области ростковых зон
Определение области угловой деформации:
Бедро и голень: физиологическое искривление
Колено: гипермобильность суставов
Проксимальный метафиз большеберцовой кости с острой медиальной угловой деформацией: болезнь Блаунта
Место угловой деформации обычно может быть определено при физикальном обследовании без необходимости рентгенографии
Пальпация эпифизов длинных костей:
Увеличение эпифизов характерно для алиментарного рахита
Оценка локальной болезненности
Определение костных выступов или деформаций
Наблюдение за походкой:
Техника наблюдения:
Ребенок должен идти к исследователю и от него
Наблюдение с разных ракурсов (спереди, сзади, сбоку)
Оценка углов:
Угол прогрессии стопы: описывает положение стопы относительно направления движения
Внутренний угол прогрессии стопы = косолапая походка
Внешний угол прогрессии стопы = "утиная" походка
Угол прогрессии надколенника: описывает положение надколенника относительно направления движения
Латеральный толчок:
Определение: кратковременное латеральное выпячивание коленного сустава во время опорной фазы походки
Патофизиология: предполагает недостаточность связок колена
Клиническое значение: ключевой признак патологического искривления
Важность: может быть характерным для патологического варуса, но наблюдается не во всех случаях
Механизм: связан с повышенными медиальными нагрузками и компенсаторной латеральной нестабильностью
Рентгенологическое исследование
Показания для рентгенографии:
Пациенты, НЕ нуждающиеся в рентгенографии:
Дети младше 3 лет с типичными признаками физиологического варуса
Дети, укладывающиеся в возрастную прогрессию развития нижних конечностей
Показания для рентгенографии:
Дети с клиническими признаками, предполагающими патологический варус
Любые "красные флаги" из анамнеза или физикального обследования
Техника рентгенографии:
Оптимальная техника:
Телерентгенограмма: изображение всей нижней конечности от тазобедренных суставов до стоп обеих нижних конечностей
Положение пациента: стоя (если возможно)
Положение стоп: в комфортном положении, НЕ сведенные вместе
Критически важно: надколенники должны быть направлены прямо вперед, независимо от того, стоит ребенок или нет
Важность правильного позиционирования: позволяет точно оценить степень варуса и проводить серийные сравнения при необходимости

Анализ рентгенограмм:
Определение пораженных костей:
Бедренная кость, большеберцовая кость, или обе
Оценка относительного вклада каждой кости в общую деформацию
Определение пораженных отделов кости:
Диафиз: несовершенный остеогенез, травма
Метафиз: скелетные дисплазии
Физис (ростковая зона): рахит, скелетные дисплазии
Эпифиз: болезнь Блаунта, скелетные дисплазии
Измерение углов:
Большеберцово-бедренный угол:
Угол между длинной осью большеберцовой кости и длинной осью бедренной кости
Основной параметр для оценки общей угловой деформации
Метафизарно-диафизарные (МД) углы:
Цель: определение локализации и относительной тяжести деформации
Техника измерения: угол между линией, проведенной через метафиз, и линией, проведенной через диафиз кости
Большеберцовый МД угол >16°: предполагает болезнь Блаунта
Соотношение бедренный МД угол : большеберцовый МД угол:
>1: предполагает физиологическое искривление
<1: предполагает болезнь Блаунта
Дополнительные рентгенологические признаки:
Качество костной ткани (плотность, структура)
Состояние ростковых зон
Наличие метафизарных изменений
Конгруэнтность суставов
Дополнительные исследования
При подозрении на рахит:
Лабораторные исследования:
Кальций сывороточный (общий и ионизированный)
Фосфор сывороточный
Щелочная фосфатаза
Паратиреоидный гормон (ПТГ)
25-гидроксивитамин D [25(OH)D]
1,25-дигидроксивитамин D [1,25(OH)2D] при необходимости
Анализ мочи: кальций, фосфор, креатинин
При подозрении на скелетную дисплазию:
Полное скелетное обследование (череп, позвоночник, конечности)
Генетическое консультирование
Специфические генетические тесты при показаниях
При подозрении на инфекцию или опухоль:
Лабораторные исследования: общий анализ крови, СОЭ, С-реактивный белок
Дополнительная визуализация: МРТ, КТ, сцинтиграфия костей при показаниях
Показания для направления к специалистам
Направление к ортопеду:
Дети с клиническими признаками патологического варуса
Подозрение на болезнь Блаунта
Асимметричные деформации
Наличие латерального толчка
Прогрессирование деформации после 2-летнего возраста
Направление к эндокринологу:
Подозрение на рахит или другие метаболические костные заболевания
Патологические лабораторные показатели обмена кальция и фосфора
Низкий рост в сочетании с деформациями
Консультация генетика:
Подозрение на скелетную дисплазию
Семейный анамнез скелетных нарушений
Множественные аномалии развития
Выраженная задержка роста с характерными признаками
Лечение
Физиологический варус
Принципы лечения:
Наблюдение - основа лечения
Успокоение родителей - критически важный компонент
Объяснение естественного хода физиологического развития
Режим наблюдения:
Частота визитов: каждые 4-6 месяцев
Цель наблюдения: подтверждение разрешения деформации
Документирование: измерение расстояния между мыщелками при каждом визите
Продолжительность: до полного разрешения (обычно к 2 годам)
Что НЕ эффективно:
Ортезы (брейсы, шины)
Стельки
Специальная обувь
Физиотерапия для коррекции деформации
Потенциальный вред неэффективного лечения:
Негативные психосоциальные последствия
Формирование у ребенка представления о том, что он "больной"
Ненужные финансовые затраты
Ограничение активности ребенка
Работа с семьей:
Объяснение нормального хода развития нижних конечностей
Подчеркивание того, что улучшение при физиологическом варусе происходит медленнее, чем при других состояниях
Предоставление письменной информации при необходимости
Работа с предыдущим опытом:
Нередко встречаются семьи, где один из родителей лечился брейсами по неизвестным причинам
Важно объяснить, что рекомендации основаны на современной оценке конкретного ребенка
Невозможно точно определить, от какого состояния лечился родитель много лет назад
Психологическая поддержка:
Признание беспокойства родителей
Заверение в нормальности состояния
Поощрение нормальной физической активности ребенка
Патологический варус
Общие принципы:
Лечение зависит от основного заболевания
Медикаментозная терапия первична при состояниях, поддающихся медикаментозному лечению
Хирургическое лечение резервируется для случаев с остаточной деформацией после оптимизации медикаментозного лечения
Специфическое лечение по нозологиям:
Болезнь Блаунта:
Инфантильная форма (до 4 лет): брейсы для разгрузки медиальных компрессионных сил
Лечение брейсами должно начинаться до 3 лет
Эффективность брейс-терапии: 50-80% случаев
При неэффективности - хирургическое лечение (гемиэпифизиодез или остеотомия большеберцовой кости)
Подростковая форма: только хирургическое лечение
Рахит:
Медикаментозное лечение основного заболевания (восполнение витамина D)
Хирургическое вмешательство откладывается до достижения медицинского контроля
Скелетные дисплазии:
Лечение зависит от конкретного заболевания
Может потребоваться хирургическая коррекция
Литература: составлено по материалам из UpToDate






